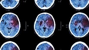
Explorer les avantages de la pratique de la respiration unilatérale des narines après un AVC
Explorer les avantages de la pratique de la respiration unilatérale des narines après un AVC : attention, langage, capacités spatiales, dépression et anxiété Rebecca Shisler …

